
长沙晚报掌上长沙2月5日讯(全媒体记者 杨蔚然 通讯员 陈嘉康 聂莉)61岁的张桐(化名)一个月前因不明原因出现呼吸困难,症状持续加重,被家人紧急送至长沙市中心医院(南华大学附属长沙中心医院)急诊医学科。检查发现,造成患者呼吸困难的元凶,竟是淋巴瘤引发的颈部巨大肿块压迫气道。经医护人员紧急救治,目前患者生命体征平稳。
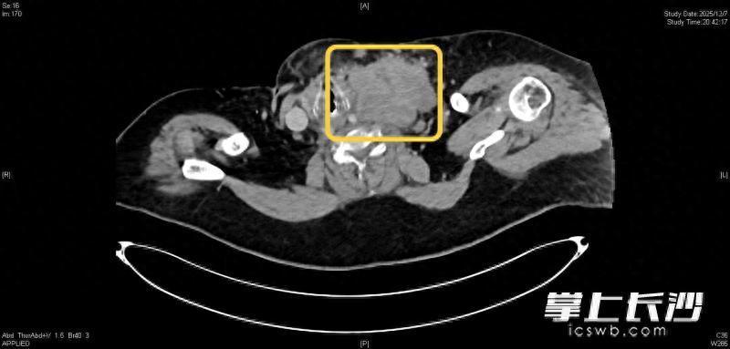
急诊科副主任、主任医师丁宁介绍,患者体重超过100公斤,无明显诱因逐渐出现活动后呼吸困难,症状持续加重,入院时全身发绀、“点头样”呼吸、大汗淋漓,脉搏达165次/分(正常为60~100次/分),呼吸达31次/分(正常为12~20次/分),血氧饱和度降低,二氧化碳分压增高,白细胞远高于正常值。在体格检查时,医生发现患者颈部存在一个较大肿块,CT检查显示,其左颈部至左锁骨上区有一个约10厘米×9厘米的巨大包块,气管后方也有一个4.4厘米×4厘米的巨大包块,两个包块严重压迫气道、影响呼吸。

为进一步精准救治,患者被转入急诊重症监护室。丁宁结合患者病史、体征及检查结果,迅速明确诊断其为:重症肺炎、二型呼吸衰竭、颈部占位性病变性质待查。由于颈部巨大包块压迫气管是导致肺部感染、呼吸衰竭的关键因素,急诊重症监护室立即申请血液科、呼吸内科、耳鼻咽喉头颈外科、乳甲外科、影像科等多学科会诊,完善病原学检查,考虑其为“高级别滤泡性淋巴瘤向弥漫大B细胞淋巴瘤转化”。
针对患者体型肥胖的特点,肺部感染重、难以脱离呼吸机,且手术创伤大、风险高,医生最终决定予以暂时性气管切开、积极抗感染、联合化疗为主的个性化治疗方案。经过医护团队的共同努力,张女士的呼吸困难症状逐渐得到改善,各项指标稳步好转,颈部肿物明显缩小,肺部感染得以控制并脱离呼吸机,随后转入血液科继续治疗。

在血液科接受25天的化疗及综合治疗后,患者病情逐渐好转,体查时已经触摸不到颈部肿块。2月3日,成功拔除气管插管,目前呼吸顺畅,病情稳定。
“因为没有跟妈妈住在一起,没留意到妈妈脖子上长了肿块,认为呼吸困难是体型肥胖导致的,多亏了医生护士的接力救治,让我妈妈能够放心回家过年!”患者家属看到母亲病情大有好转,向医生表示感谢。
血液内科副主任、副主任医师尹亚飞介绍,淋巴细胞广泛分布于全身淋巴结及淋巴组织中,若淋巴细胞发生恶性病变,不受控制生长就会形成淋巴瘤。除了毛发、指甲、牙齿这些没有淋巴组织的部位,淋巴瘤可以发生在其他全身不同的部位。淋巴瘤早期症状隐匿,且缺乏特异性,最常见的信号是颈部、耳后、腋窝、腹股沟等浅表部位出现无痛性淋巴结肿大。
尹亚飞表示,除了淋巴结肿大,淋巴瘤还可能伴随其他症状。如持续性或周期性低热、短期内体重明显下降、夜间盗汗、乏力、食欲减退以及皮肤瘙痒等。一旦出现上述症状,应及时到专科就诊排查。不过,大部分淋巴结肿大是良性的,不必过度恐慌,关键在于早筛查、早诊断。坚持健康的生活方式是维护免疫系统健康、预防淋巴瘤的关键所在,如保证充足睡眠、注重饮食卫生与营养均衡、保持乐观心态及坚持适当锻炼等。
顺阳网提示:文章来自网络,不代表本站观点。